Skip to content
Dr Murali Mohan S
Brain and Spine Surgeon
Menu
Search
Home
About
Contact
Comment
Search for:
Search
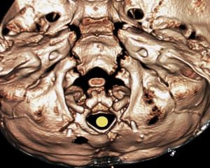
WhatsApp Image 2017-10-08 at 17.11.49
On
November 7, 2017
November 7, 2017
By
Dr Murali Mohan S
Post navigation
Previous
A first of its kind and a challenging surgical procedure!
Leave a comment
Cancel reply
Δ
Comment
Subscribe
Subscribed
Dr Murali Mohan S
Join 122 other subscribers
Sign me up
Already have a WordPress.com account?
Log in now.
Dr Murali Mohan S
Subscribe
Subscribed
Sign up
Log in
Copy shortlink
Report this content
View post in Reader
Manage subscriptions
Collapse this bar